เด็ก มจธ.เจ๋ง ปั้น AI ตรวจค่า ‘ตับ’ รู้ผลใน 7 วินาที ลดเหลื่อมล้ำการรักษามะเร็งตับให้คนไทย มหาวิทยาลัยเทคโนโลยีพระจอมเกล้าธนบุรี(มจธ.)

   เมื่อ : 17 มี.ค. 2569

สถานการณ์โรคตับในประเทศไทยกำลังเข้าขั้นวิกฤติ จากข้อมูลพบว่าคนไทยกว่า 20 ล้านคน หรือ 1 ใน 3 ของประชากรทั้งประเทศ กำลังเผชิญกับภาวะไขมันพอกตับ ขณะที่ในพื้นที่ภาคตะวันออกเฉียงเหนือ มีปัญหาโรคพยาธิใบไม้ตับอย่างรุนแรง โดยพบผู้ติดเชื้อสูงถึง 1 ใน 3 ของประชากรในภูมิภาค ปัญหาเหล่านี้หากปล่อยไว้ จะทำให้ตับเป็นพังผืด ตับแข็ง และกลายเป็นมะเร็งตับในท้ายที่สุด

 

“ค่าใช้จ่าย” คืออุปสรรคใหญ่ที่ทำให้คนไทยจำนวนมากยังเข้าไม่ถึงการตรวจรักษาโรคตับ เพราะเครื่องสแกนตรวจสุขภาพตับ หรือ ไฟโบรสแกน (FibroScan) มีราคาสูงถึงเครื่องละประมาณ 2.5 - 7 ล้านบาท ทำให้มีโรงพยาบาลรัฐมีเพียง 17 แห่งจากทั่วประเทศที่มีเครื่องนี้ อีกทั้งค่าตรวจต่อครั้งยังสูงถึง 3000-5000 บาท ซึ่งเกินกำลังของผู้ป่วยที่มีรายได้น้อย ส่งผลให้การตรวจนี้ ยังไม่อยู่ในสิทธิการรักษาที่รัฐดูแลได้ และกลายเป็นช่องว่างสำคัญของการเข้าถึงบริการสุขภาพ

นี่จึงเป็นสาเหตุที่ 2 นักศึกษาจากทีมห้องปฏิบัติการวัสดุฉลาด (SMART LAB) มหาวิทยาลัยเทคโนโลยีพระจอมเกล้าธนบุรี (มจธ.) ประกอบด้วย นายภูริณัฐ พลอาสา (นาโน) นักศึกษาชั้นปีที่ 3 ภาควิชาวิศวกรรมคอมพิวเตอร์ และ นางสาวชลยา เครือวุฒิกุล (วาวา) นักศึกษาชั้นปีที่ 1 สถาบันวิทยาการหุ่นยนต์ภาคสนาม (FIBO) ร่วมกันคิดค้นนวัตกรรม “SmartLiva ระบบวิเคราะห์ภาพอัลตราซาวด์ด้วยปัญญาประดิษฐ์ สำหรับการจำแนกพยาธิสภาพ และประเมินภาวะพังผืดรวมถึงไขมันสะสมในตับ” ขึ้น

 

“จากประสบการณ์ตรงที่คนใกล้ชิดไปรับการตรวจประเมินค่าตับ พบว่ามีใช้ค่าใช้จ่ายสูง เนื่องจากเครื่องไฟโบรสแกนตรวจโรคตับมีราคาแพง จึงมีเฉพาะในโรงพยาบาลขนาดใหญ่เท่านั้น ทำให้เข้าถึงได้ยาก รวมถึงการต้องรอผลนานเพราะผู้เชี่ยวชาญที่อ่านฟิล์มเอกซเรย์มีจำนวนค่อนข้างน้อย ด้วยเหตุนี้ ทีมจึงปรึกษา รศ. ดร.อนรรฆ ขันธะชวนะ อาจารย์ประจำภาควิชาวิศวกรรมเครื่องกล และหัวหน้าห้องปฏิบัติการวัสดุฉลาด (SMART LAB) มจธ. เพื่อพัฒนา AI อัจฉริยะ ที่สามารถอ่านภาพอัลตราซาวด์ได้แม่นยำและรวดเร็ว ช่วยให้การวินิจฉัยโรคตับเข้าถึงง่ายและสะดวกยิ่งขึ้นสำหรับทุกคน” นาโน เล่าถึงจุดเริ่มต้นของ SmartLiva

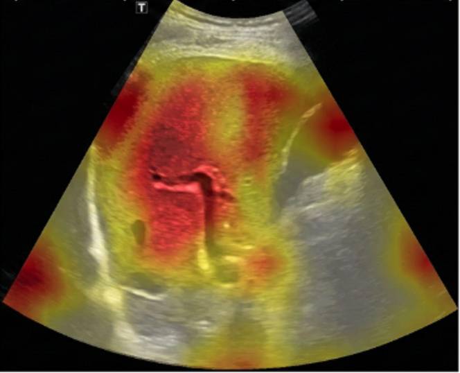
SmartLiva ทำงานเหมือน “อัปเกรด” จากภาพอัลตราซาวด์ขาวดำธรรมดาให้กลายเป็นผลวินิจฉัยที่อ่านง่ายและแม่นยำ โดยแพทย์อัปโหลดภาพผ่านเว็บได้ทั้งบนคอมพิวเตอร์หรือแท็บเล็ต จากนั้นระบบจะช่วยปรับภาพให้ชัดขึ้น คัดเฉพาะบริเวณเนื้อตับที่ต้องวิเคราะห์ และทำให้ภาพดูเข้าใจง่ายขึ้นด้วยการไฮไลต์เป็นสี (เช่น ตับเป็นสีแดง ไขมันเป็นสีเหลือง) เพื่อให้เห็นความผิดปกติได้ทันที โดย AI จะทำการประเมิน 3 เรื่องพร้อมกัน คือ ประเมินระดับพังผืด/ความแข็งของตับ (F0–F4) ตรวจหาความผิดปกติของเนื้อเยื่ออย่างถุงน้ำหรือมะเร็งตับ และตรวจหาพยาธิใบไม้ตับ ซึ่งตัว AI จะทำการประมวล วิเคราะห์ และสรุปผลออกมาเป็นรายงานพร้อมภาพประกอบและคำอธิบายที่คนทั่วไปเข้าใจได้ โดย AI ทั้งหมดถูกฝึกฝน (Train) ด้วยฐานข้อมูลภาพอัลตราซาวด์กว่า 50000 ภาพ จากโรงพยาบาลชั้นนำ อย่างโรงพยาบาลขอนแก่น โรงพยาบาลจุฬาลงกรณ์ และโรงพยาบาลรามาธิบดี

“ผลการทำงานของ SmartLiva ออกมาเป็นที่น่าพอใจมาก ระบบสามารถวิเคราะห์ผลได้ค่อนข้างแม่นยำ โดยสามารถประเมินระยะตับแข็งได้แม่นยำถึง 92% ตรวจเนื้อเยื่อผิดปกติได้แม่นยำ 87% และตรวจพยาธิใบไม้ตับได้แม่นยำถึง 84% ที่สำคัญคือใช้เวลาประมวลผลทั้งหมดเพียง 7 วินาที จากเดิมที่บางครั้งต้องใช้เวลามากกว่าครึ่งชั่วโมง เราจึงมองว่านวัตกรรมนี้ช่วยลดช่องว่างการวินิจฉัยโรคตับในระยะเริ่มต้นที่ตรวจพบได้ยากและมีโอกาสคลาดเคลื่อนสูงได้ ปัจจุบันมีการทดสอบกับผู้ป่วยจริง ทั้งโรงพยาบาลขอนแก่นกว่า 2000 ราย และโรงพยาบาลจุฬาลงกรณ์อีก 1500 ราย ซึ่งให้ผลในเชิงคลินิกเป็นที่น่าพอใจมาก ใช้เป็นผู้ช่วยในการวินิจฉัยโรคของแพทย์ได้เป็นอย่างดี” น้องวาวา เล่าถึงการทำงานและผลการทดสอบกับสถานพยาบาลจริง

 

SmartLiva ถือเป็น “ความหวังใหม่” ที่ช่วยลดความเหลื่อมล้ำด้านสุขภาพให้คนไทยได้จริง เพราะทำให้ต้นทุนการตรวจโรคตับลดลงถึง 77% จากค่าตรวจหลักพัน เหลือเพียง 200–300 บาท ซึ่งอยู่ในระดับที่สิทธิประกันสังคมหรือประกันชีวิตทั่วไปมีโอกาสครอบคลุมได้ ผู้ป่วยจึงไม่ต้องแบกภาระค่าใช้จ่ายหนักเหมือนที่ผ่านมา ขณะเดียวกันระบบยังใช้งานง่ายผ่านเว็บแอปพลิเคชัน ใช้งานได้ทั้งคอมพิวเตอร์ แท็บเล็ต และมือถือ ทำให้แพทย์ในโรงพยาบาลขนาดเล็กที่ไม่มีเครื่องไฟโบรสแกน สามารถคัดกรองผู้ป่วยโรคตับระยะเริ่มต้นได้เร็วและแม่นยำขึ้น ช่วยลดปัญหาการแออัดของจำนวนผู้ป่วยที่รอผลการตรวจและลดระยะเวลาที่ต้องรอคิวรับการรักษาในโรงพยาบาลใหญ่ได้อย่างเป็นรูปธรรม

 

ในอนาคตทั้งสองเตรียมยกระดับ SmartLiva ให้เป็น Explainable AI (XAI) ที่สามารถอธิบายรายละเอียดแต่ละขั้นตอนการวินิจฉัยให้ชัดเจนยิ่งขึ้น พร้อมเสริมระบบ “HepaSage” ผู้ช่วยอัจฉริยะที่สรุปผลออกมาเป็นรายงานที่อ่านแล้วเข้าใจง่ายทั้งคนไข้และบุคลากรทางการแพทย์ อีกด้านหนึ่งทีมยังวางแผนทำเป็นอุปกรณ์พกพา ที่ใช้งานได้ในคลินิกหรือพื้นที่ที่เครื่องมือมีจำกัด รวมถึงต่อยอดความสามารถของ AI ไปสู่โรคอื่นๆ ที่ต้องแข่งกับเวลา เช่น การตรวจลิ่มเลือดในสมองของผู้ป่วยโรคหลอดเลือดสมอง เพื่อช่วยให้รู้ผลได้เร็ว รักษาได้ทันท่วงที ลดภาวะพิการ และเสียชีวิต

 

ด้วยความโดดเด่นของ SmartLiva ทำให้คว้ารางวัลชนะเลิศจากการประกวดสิ่งประดิษฐ์และนวัตกรรมระดับอุดมศึกษา I-New Gen Award 2026 สาขา กลุ่มที่ 2: สุขภาพและการแพทย์ ในงานวันนักประดิษฐ์ ประจำปี 2569 (Thailand Inventors’ Day 2026)

 

“SmartLiva” คือ ผลงานเทคโนโลยีปัญญาประดิษฐ์ หรือ AI ที่ย้ำชัดว่าเยาวชนไทยมีศักยภาพสร้างเทคโนโลยีเพื่อช่วยแก้ปัญหาสุขภาพระดับประเทศได้จริง และหากนำไปใช้ได้กว้างขึ้น ก็จะเป็น “กุญแจสำคัญ” ที่ช่วยพาระบบสาธารณสุขไทยไปสู่ความเท่าเทียมและยั่งยืนในอนาคต

 

                                      #####

 

ข่าวอื่นๆ ที่น่าสนใจ